انگشت چنگالی پا چیست؟ فیزیوتراپی انگشت چنگالی پا، بیرون زدگی استخوان شست پا (هالوکس ولگوس)
انگشت چنگالی پا یا همان هالوکس ولوگرنس (Hallux Valgus)، یا به عبارتی بیرون زدگی استخوان شست پا یک حالت تغییر شکلی در پا است که در آن، انگشت بزرگ پا به سمت بیرون خم شده و به سمت انگشتان دیگر متمایل میشود. در این مقاله به توضیح آن و فیزیوتراپی و درمان آن می پردازیم. این حالت معمولاً با تشکیل یک توده استخوانی در انگشت بزرگ پا همراه است که به عنوان یک کتانیتس یا تومور استخوانی شناخته میشود.
علت اصلی این حالت، عوامل ژنتیکی و موروثی است. اما شرایطی همچون استفاده بیش از حد از کفشهای بسته و تنگ، پاشنه بلند، کهولت سنی، آسیب یا التهاب در مفاصل پا و اختلال در مکانیسمهای نورولوژیکی میتوانند نقشی در تشدید این حالت داشته باشند.
علایم و نشانههای انگشت چنگالی پا شامل موارد زیر میباشد.
- ● خم شدن انگشت بزرگ پا به سمت بیرون
- ● تشکیل توده استخوانی درانگشت بزرگ پا
- ● درد و تورم در ناحیه توده استخوانی
- ● مشکل در راه رفتن
درمان انگشت چنگالی پا و یا بیرون زدگی استخوان شست پا، ممکن است شامل تغییر روشهای استفاده از کفش، استفاده از وسایل پشتیبانی مانند پابند، فیزیوتراپی، داروها و در موارد شدیدتر، جراحی برای اصلاح شکل پا و برداشتن توده استخوانی باشد. متخصصین پزشکی و متخصصین جراحی ارتوپدی میتوانند در تشخیص و درمان این حالت به شما کمک کنند.
مقاله شکستگی کف پا را بخوانید.
علائم انگشت چنگالی پا کدامند؟
علائم بیرون زدگی استخوان شست پا
علائم و نشانههای انگشت چنگالی پا (هالوکس ولگوس) عبارتند از:
علائم و نشانههای بیرون زدگی استخوان شست پا عبارتند از:
خم شدن انگشت بزرگ پا به سمت بیرون
علائم هالوکس ولگوس و یا بیرون زدگی استخوان شست پا: انگشت بزرگ پا بهطور غیرطبیعی به سمت بیرون خم و به سمت انگشتان دیگر متمایل میشود. این تغییر شکل ممکن است درجههای مختلفی داشته باشد، از جمله خم شدن ضعیف تا خم شدن شدید.
تشکیل توده استخوانی (کتانیتس)
در ناحیه پای انگشت بزرگ، یک توده استخوانی شکل میگیرد. این توده ممکن است در اندازه و شدت متفاوتی بروز کند و باعث تورم و درد میشود. تشکیل توده استخوانی نیز از علائم بیرون زدگی استخوان شست پا و یا همان هالوکس ولگوس میباشد.
درد و تورم
شخص مبتلا به انگشت چنگالی پا ممکن است درد و تورم در ناحیه انگشت بزرگ پا تجربه کند. این درد ممکن است مداوم یا تشدید شده باشد و معمولاً در تماس با کفشهای تنگ بیشتر شود.
مشکل در راه رفتن و استفاده از کفشهای تنگ
انگشت چنگالی پا میتواند باعث محدودیت حرکت و مشکل در راه رفتن شود. استفاده از کفشهای تنگ میتواند ناراحتی و درد را افزایش دهد و باعث مشکلات در استفاده از کفش شود.
در صورت تجربه هر یک از این علائم، بهتر است به پزشک مراجعه کنید تا تشخیص دقیق و درمان مناسبی برای شما تعیین شود.
در مورد تاندون آشیل بخوانید.
علت ناهنجاری انگشت چنگالی پا چیست؟
ناهنجاری انگشت چنگالی پا (هالوکس ولگوس) معمولاً از عوامل ژنتیکی و موروثی ناشی میشود. به عبارت دیگر، اگر والدین یا سایر اعضای خانواده شما این حالت را داشته باشند، احتمالاً شما هم مستعد این ناهنجاری هستید. علاوه بر عوامل ژنتیکی، عوامل دیگری نیز میتوانند در بروز ناهنجاری انگشت چنگالی پا نقش داشته باشند، از جمله:
استفاده از کفشهای نامناسب
استفاده مکرر و مداوم از کفشهای بسته و تنگ، باعث فشار غیرطبیعی بر روی انگشتان پا میشود و میتواند فرآیند تغییر شکلی انگشت چنگالی پا را تسریع کند.
ساختار پا
برخی افراد به دلیل ساختار پاهای خود، از جمله پای صاف یا پای کوتاهتر، بیشتر در معرض این ناهنجاری قرار دارند.
عوامل زندگی
عواملی مانند افزایش سن، آسیب یا التهاب در مفاصل پا، استفاده بیش از حد از پاشنه بلند و نوارهای پاشنه، وزن بیش از حد و اختلال در مکانیسمهای نورولوژیکی میتوانند به بروز این ناهنجاری مساعد باشند.
برای تشخیص دقیق و تعیین دلیل اصلی ناهنجاری انگشت چنگالی پا، بهتر است با متخصصین پزشکی و متخصصین جراحی ارتوپدی مشورت کنید. آنها میتوانند بر اساس تاریخچه پزشکی شما و ارزیابی جسمانی، علت ناهنجاری را تشخیص دهند و برنامه درمانی مناسب را تعیین کنند.
مقاله نرمی استخوان در بزرگسالان را بخوانید.
خطرات و عوارض انگشت چنگالی پا کدامند؟
ناهنجاری انگشت چنگالی پا (هالوکس ولگوس)، یا همان بیرون زدگی استخوان شست پا، میتواند عوارض و خطراتی را به همراه داشته باشد. برخی از این عوارض و خطرات عبارتند از:
درد و ناراحتی: انگشت چنگالی پا ممکن است درد و تورم را در ناحیه انگشت بزرگ پا ایجاد کند. این مشکل میتواند باعث ناراحتی در راه رفتن و استفاده از کفشهای تنگ شود.
● تشکیل توده استخوانی (کتانیتس): در انگشت چنگالی پا، توده استخوانی شکل میگیرد که به عنوان کتانیتس شناخته میشود. این توده میتواند باعث درد، تورم و محدودیت حرکت شود.
● التهاب مفاصل: ناهنجاری انگشت چنگالی پا ممکن است به عنوان یک عامل مزمن درالتهاب مفاصل مانند آرتریت روماتوئید و آرتریت گوت باشد.
● تغییر شکل و آسیب به استحکام پا: با پیشروی ناهنجاری، شکل و استحکام پا تغییر میکند. این تغییرات میتوانند باعث محدودیت حرکت، ناهمواری در راه رفتن و عدم توازن شود.
● مشکلات در کفش پوشیدن: انگشت چنگالی پا ممکن است باعث ایجاد مشکلات در انتخاب و استفاده از کفشها شود. کفشهای تنگ میتوانند درد را بیشتر کنند و موجب ایجاد زخم در پا شوند.
در صورت تجربه هر یک از این عوارض و خطرات، بهتر است با پزشک مراجعه کنید، پزشک میتواند تشخیص دقیق را بررسی کند و راههای مناسب درمانی را برای شما تعیین کند.
روشهای درمان انگشت پای چنگالی، درمان بیرون زدگی استخوان شست پا
درمان انگشت چنگالی پا (هالوکس ولگوس) و یا همان بیرون زدگی استخوان شست پا، ممکن است شامل روشهای غیرجراحی و جراحی باشد. در تشخیص و تعیین روش مناسب درمان، بهتر است با پزشک متخصص ارتوپدی یا فیزیوتراپیست مشورت کنید. در ادامه، چندین روش درمانی رایج برای انگشت چنگالی پا ذکر شده است:
● استفاده از کفشهای مناسب: انتخاب کفشهای مناسب و آسیب نرساندن به انگشت چنگالی پا میتواند بهبود را به دنبال داشته باشد. کفشهای با نوک مستطیل و فضای کافی در ناحیه انگشتان پا برای جا دادن آنها مناسب هستند.
● استفاده از پایهها و پشتیبانهای ارتوپدی: استفاده از پایهها و پشتیبانهای ارتوپدی میتواند کمک کند تا فشار و بار وزنی روی انگشت چنگالی پا کاهش یابد و بهبود را فراهم کند.
● فیزیوتراپی و تمرینات تقویتی: فیزیوتراپی و تمرینات تقویتی میتواند به تقویت عضلات پا، بهبود حرکت و استحکام پا کمک کند و ممکن است در بهبود شرایط انگشت چنگالی پا موثر باشد.
● استفاده از بریس: استفاده از بریس ممکن است به تنظیم و تغییر شکل انگشت چنگالی پا کمک کند. این ابزار با فشار و کشش بر روی انگشت چنگالی پا، تغییر شکل را بهبود میبخشند.
● جراحی: در موارد شدید و در صورت عدم بهبود با روشهای غیرجراحی، جراحی ممکن است لازم شود. در جراحی انگشت چنگالی پا، معمولاً عمل جراحی کورتیکوتومی (کاهش طول استخوان)، آرتروتومی (جراحی مفصل) یا ترکیبی از این دو انجام میشود.
هر روش درمانی بسته به شدت ناهنجاری و تشخیص پزشک، برای هر فرد ممکن است متفاوت باشد. بنابراین، مشورت با پزشک متخصص برای تعیین روش درمان مناسب برای شما بسیار مهم است.
آیا جراحی درمان نهایی برای انگشت چنگالی پا است یا روشهای دیگری نیز وجود دارد؟
جراحی معمولاً به عنوان یک روش درمان آخرین مرحله در موارد شدید و عدم بهبود با روشهای غیرجراحی در نظر گرفته میشود. با این حال، در بسیاری از موارد، روشهای غیرجراحی میتوانند بهبود قابل توجهی را به انگشت چنگالی پا بخشیده و نیاز به جراحی را کاهش دهند.
جراحی معمولاً به عنوان یک گزینه درمانی آخر در نظر گرفته میشود و روشهای غیرجراحی میتوانند ابتدا امتحان شوند. مهم است که با پزشک متخصص خود مشورت کنید تا راههای درمانی مناسب برای شرایط خاص شما تعیین شود.
روش های تشخیص ناهنجاری انگشت پای چنگالی
تشخیص ناهنجاری انگشت پای چنگالی (هالوکس ولگوس) معمولاً توسط پزشک متخصص ارتوپدی صورت میگیرد. پزشک با استفاده از تاریخچه بالینی، ارزیابی فیزیکی و در صورت لزوم تستهای تشخیصی، تشخیص ناهنجاری را قطعیت بخشیده و یک طرح درمانی مناسب تعیین میکند. در ادامه، چند روش تشخیصی معمول برای ناهنجاری انگشت پای چنگالی ذکر شده است:
● بررسی بالینی: پزشک ابتدا تاریخچه پزشکی جامع شما را مطالعه میکند و سوالاتی مانند زمان بروزعلائم، شدت درد، میزان تأثیر بر فعالیت روزمره و سابقه درمان قبلی را مطرح میکند. این اطلاعات به پزشک کمک میکنند تا تشخیص دقیقتری برای ناهنجاری شما برقرار کند.
● ارزیابی فیزیکی: پزشک بررسی فیزیکی انجام میدهد و با توجه به علائم و نشانههای موجود، اندازهگیری میزان انحراف انگشت چنگالی پا، اندازه مفاصل و تحرک آنها را بررسی میکند.
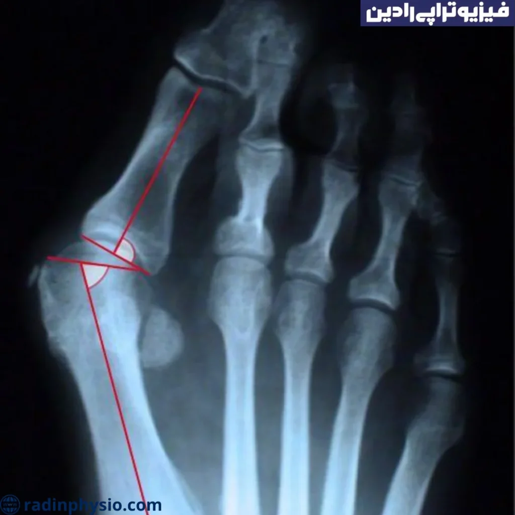
● تصویربرداری: در مواردی که تصویربرداری بیشتر لازم است، پزشک ممکن است از رادیوگرافی (X-ray) استفاده کند تا تصاویری از پا و مفاصل انگشت چنگالی بگیرد. این تصاویر ممکن است نشان دهنده تغییرات استخوانی، مفصلی و ساختاری در پا باشند.
● سایر تستها: در برخی موارد، پزشک ممکن است برای ارزیابی ناهنجاریهای نرمتنی و عضلانی، از تستهای اضافی مانند سونوگرافی، مراجعه به فیزیوتراپیست، یا تستهای عملکردی و تحرکی دیگر استفاده کند.
با توجه به شدت و نوع ناهنجاری، پزشک شما را به روشهای تشخیصی خاصی هدایت خواهد کرد. مهم است که با پزشک خود درباره نتایج تستها و تشخیصات دقیق صحبت کنید تا طرح درمانی مناسب برای شما تعیین شود.
فیزیوتراپی انگشت چنگالی پا چگونه و از چه روش هایی انجام می شود؟
فیزیوتراپی انگشت شست پا
فیزیوتراپی انگشت شست پا، انگشت چنگالی، یک روش درمانی است که برای بهبود حالت و عملکرد انگشتی که در آن انگشت به شکل چنگالی دچار انحنا شده است، استفاده میشود. این شرایط معمولاً به دلیل تنگی عضلات و ارتباطات تاندونی در اطراف انگشت ناشی میشود.
برای انجام فیزیوتراپی انگشت چنگالی، معمولاً از روشهای زیر استفاده میشود:
● تمرینات تعادلی و تقویتی: این تمرینات شامل استحکامبخشی عضلات اطراف انگشت، بهبود تعادل و کنترل حرکتی و افزایش قدرت و استقامت عضلات است. ممکن است تمریناتی مانند نگهداری انگشت در جایگاه صحیح، انعطافپذیری و تعادل انگشت، استفاده از ابزارهای تمرینی و تمرینات مقاومتی انجام شود.
● ماساژ و تمدید عضلات: با استفاده از تمرینات ماساژ و تمدید عضلات اطراف انگشت، میتوان انقباضات و تنگی در عضلات را کاهش داد و بهبود محدودیتهای حرکتی را تسهیل کرد.
● تمرینات ترکیبی: این تمرینات شامل استفاده از ابزارهای کمکی و وسایل کمکی میشود. به عنوان مثال، استفاده از بندها و براکتها برای تثبیت و حمایت انگشت متاثر، و انجام تمریناتی که حرکت و کنترل دقیقتری را در انگشت فراهم میکنند.
● روشهای دیگر: بسته به شدت و نوع انحنا و میزان محدودیت در حرکت انگشت، ممکن است روشهای دیگری مانند استفاده از اسپلینت، آب درمانی، درمان حرارتی و استفاده از الکتروتراپی مورد استفاده قرار گیرد.
مهم است که درمان فیزیوتراپی انگشت چنگالی توسط یک متخصص فیزیوتراپی (کلینیک تخصص فیزیوتراپی رادین) یا پزشک متخصص ترمیمی و با توجه به وضعیت خاص هر فرد تعیین و نظارت شود.
سخن پایانی
همانطور که گفته شد برای درمان انگشت چنگالی پا و یا بیرون زدگی استخوان شست پا میتوانید با مراجعه به کلینیک فیزیوتراپی رادین از بهترین خدمات و درمان های لازم در این خصوص بهره مند شوید تا در کوتاه ترین زمان ممکن به سلامت خود دست یابید. در کلینیک رادین با مجهز ترین امکانات پزشکی و فیزیوتراپی تحت نظر پزشک متخصص سلامت خود را بازیابید. کلینیک فیزیوتراپی رادین یکی از بهترین فیزیوتراپی تهران شناخته میشود.






